歯内療法

歯内療法について分かりやすくご説明します。また、患者さんから寄せられるご質問をまとめましたので、参考になさってください。

竹内歯科診療所
葛西駅から徒歩9分

歯内療法

歯内療法

炎症のある根の治療を行います。

歯内療法とは聞きなれない言葉ですが、簡単に言うと歯の根っこの治療のことです。

虫歯が進行して大きくなると、細菌が歯の中の神経まで到達します。
すると痛みも強くなり夜も寝れないといった状態になります。こうなったらもう神経を温存することができないので、神経ごと細菌を除去することになります。

しかし歯の神経の形態は複雑怪奇で歯の生えている位置や種類・はたまた人ごとにかなりバリエーションがあるため、なかなか一筋縄ではいきません。
また根管(神経の入っていた空間)の中は基本的に見えない部分であるため、いちど根管に細菌が侵入してしまうとそれを取り除くのは容易ではありません。

ルーペ(3〜6倍)など拡大ツールを使用しできるだけ可視化した上で感染した部分を除去し、丁寧に洗浄することで生体が治癒に向かうよう促します。
言葉で言うと簡単ですが、非常に時間と手間のかかる地味な作業になりますので、少しでもつらくならない様に工夫していますのでよろしくお付き合い下さい。

治療の進め方

根管の中にヤスリ状の器具をいれ、汚染されている部分を削って除去します。消毒後、樹脂を根管につめて外部から細菌が侵入しないよう封鎖します。

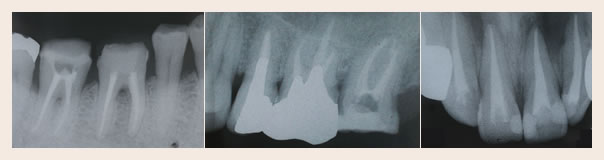
治療終了後のレントゲン写真

治療終了後のレントゲン写真

歯内療法に関するご質問

根っこの治療は1回で終わりますか?
根管治療は、時間と手間がかかります。最低でも2回はかかると思っていて下さい。根管の形態が複雑になるに従って、回数も増えていきますがご了承ください。
根の治療は痛みますか?
できるだけ痛みが少ないように配慮し、必要であれば麻酔をして進めていきますので、ご安心ください。

竹内歯科診療所では、安心と安全を目指しています

歯に関して心配な事、分からない事などありましたら、ご相談に乗りますので、お気軽に声をかけて頂けると幸いです。出来るだけ地域に密着した診療をしたいと考えています。

ページトップへ

診療内容

  • 虫歯治療
  • 歯周治療
  • 歯内療法
  • 欠損補綴治療
  • 有病者・高齢者の治療
  • ホワイトニング
  • 矯正治療
  • 訪問歯科診療

診療時間

予約制となっておりますので、お電話でご予約の上 ご来院ください。